PRF - osocze bogatopłytkowe

PRF – naturalne przyspieszenie gojenia po zabiegach stomatologicznych

PRF (Platelet Rich Fibrin) to innowacyjna metoda wspomagająca szybsze i bezpieczne gojenie tkanek po zabiegach stomatologicznych. Preparat powstaje z własnej krwi pacjenta, pobranej i przygotowanej w trakcie jednej wizyty w naszej klinice.

Dzięki wysokiej zawartości naturalnych czynników wzrostu, PRF:

  • przyspiesza proces gojenia ran po zabiegach chirurgicznych,

  • zmniejsza ból i obrzęk,

  • wspiera regenerację kości i dziąseł,

  • zwiększa skuteczność leczenia implantologicznego.

Najważniejsze korzyści stosowania PRF

✔️ Szybsze i bardziej komfortowe gojenie po zabiegach chirurgicznych
✔️ Naturalna regeneracja kości i tkanek miękkich
✔️ Zmniejszenie bólu i obrzęku po zabiegu
✔️ 100% materiał własny pacjenta – pełne bezpieczeństwo
✔️ Brak ryzyka reakcji alergicznych

Bezpieczeństwo i skuteczność

PRF przygotowujemy zgodnie z certyfikowanym protokołem, przy użyciu specjalistycznego sprzętu. Dzięki temu zapewniamy maksymalne bezpieczeństwo oraz wysoką skuteczność leczenia.

Zastosowanie PRF obejmuje m.in.:

  • implantologię

  • ekstrakcje zębów

  • leczenie chorób przyzębia

  • odbudowę kości i dziąseł

Efekty leczenia z wykorzystaniem PRF

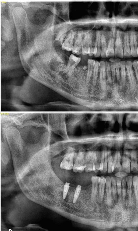
Efekt regeneracji kości po zastosowaniu PRF jest widoczny już po kilku miesiącach.
Przykład: Zdjęcie wykonane 8 miesięcy po zabiegu – odbudowa tkanki kostnej i poprawa warunków do leczenia implantologicznego.

Dlaczego warto wybrać PRF?

Zastosowanie PRF skraca czas gojenia, zwiększa komfort pacjenta i poprawia skuteczność leczenia implantologicznego. To naturalna metoda, w pełni bezpieczna i dostosowana indywidualnie do potrzeb każdego pacjenta.

 

Skontaktuj się z nami

KONTAKT


Poniedziałek - Piątek: Kl. 08.00 – 20.00

Sobota: Kl. 09.00 – 17.00

Telefon: +48 790 80 44 80

Skontaktuj się z nami lub sprawdź lokalizację Kontakt i lokalizacja

Facebook: Follow us

BEAUTY SMILE DENTAL

Ulica Mazurska 17/1

Szczecin


Telefon: +48 790 80 44 80

Email: info@beautysmiledental.pl

Strona internetowa: www.beautysmiledental.pl

Facebook: www.facebook.com/Beautysmiledentalpl-105632694265227